Graf R Das Hüftgelenk - vom Säugling bis zur Endoprothese Journal für Mineralstoffwechsel & Muskuloskelettale Erkrankungen 2004; 11 (1): 12-21 Volltext (PDF) Summary Übersicht | ||||||||||||||||||
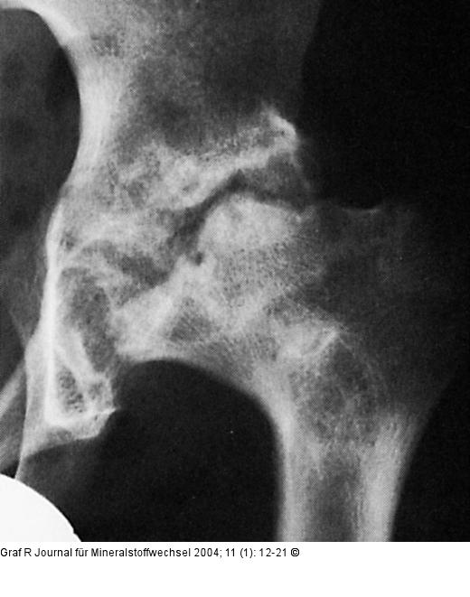
Abbildung 6: Hüftgelenk Morbus Perthes: Das Hüftgelenk weitgehend zerstört, der Hüftkopf nur mehr in Resten vorhanden und entrundet. |
Abbildung 6: Hüftgelenk
Morbus Perthes: Das Hüftgelenk weitgehend zerstört, der Hüftkopf nur mehr in Resten vorhanden und entrundet. |
