Hübner W Differentialindikation zur operativen Therapie der männlichen Inkontinenz nach radikaler Prostatektomie Journal für Urologie und Urogynäkologie 2004; 11 (Sonderheft 5) (Ausgabe für Österreich): 22-27 Volltext (PDF) Übersicht | ||||||||||||||||
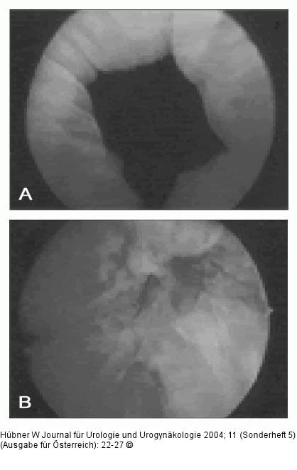
Abbildung 1a-b: Bulking agents "Bulking agents". A: Offener Blasenhals vor Injektion; B: Blasenhals nach Injektion von Kollagen. |
Abbildung 1a-b: Bulking agents
"Bulking agents". A: Offener Blasenhals vor Injektion; B: Blasenhals nach Injektion von Kollagen. |
