Krause R Zementabfluß über Pulmonalarterien bei Vertebroplastie Journal für Mineralstoffwechsel & Muskuloskelettale Erkrankungen 2004; 11 (Sonderheft 3): 15-18 Volltext (PDF) Summary Übersicht | ||||||||
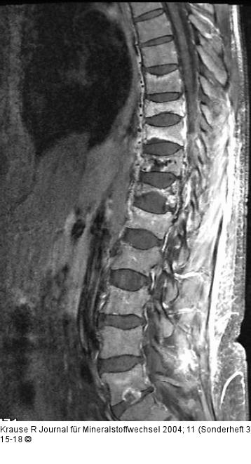
Abbildung 2: Wirbelkörper - Kompression T1-gewichtetes Bild der BWS/LWS in seitlicher Schnittführung, mit Fettunterdrückung und nach Gabe von Gadolineum bei Patientin aus Fall 1 nach Vertebroplastie. Es ist noch die ausgeprägte Kompression der Wirbelkörper BWK11 und 12 zu erkennen. Außerdem Kontrastmittelaufnahme in den Wirbelkörpern BWK9 und 10 als Zeichen der neu aufgetretenen Sinterungsfrakturen. |
Abbildung 2: Wirbelkörper - Kompression
T1-gewichtetes Bild der BWS/LWS in seitlicher Schnittführung, mit Fettunterdrückung und nach Gabe von Gadolineum bei Patientin aus Fall 1 nach Vertebroplastie. Es ist noch die ausgeprägte Kompression der Wirbelkörper BWK11 und 12 zu erkennen. Außerdem Kontrastmittelaufnahme in den Wirbelkörpern BWK9 und 10 als Zeichen der neu aufgetretenen Sinterungsfrakturen. |
