Vieth M, Borchard F, Hattori T, Kushima R, Stolte M Das gastral differenzierte Adenom (pyloric gland adenoma). Fact or Fiction? Journal für Gastroenterologische und Hepatologische Erkrankungen 2005; 3 (1): 7-10 Volltext (PDF) Summary Übersicht | ||||||||||||||||||
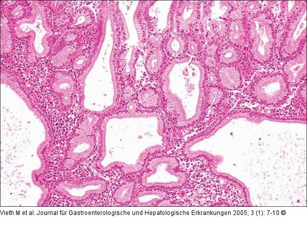
Abbildung 5: PGA - Magenkorpus Ausschnitt aus Abb. 4: die Zellkerne sind abgerundet, von der Basalmembran leicht abgehoben und das Zytoplasma ist hell bis eosinophil gefärbt (HE 100 x). |
Abbildung 5: PGA - Magenkorpus
Ausschnitt aus Abb. 4: die Zellkerne sind abgerundet, von der Basalmembran leicht abgehoben und das Zytoplasma ist hell bis eosinophil gefärbt (HE 100 x). |
