Schima W, Dejaco C, Tribl B Aktuelle Bilder: Akute nekrotisierende Pankreatitis mit pankreatiko-pleuralter Fistel Journal für Gastroenterologische und Hepatologische Erkrankungen 2005; 3 (2): 41 Volltext (PDF) Fallbeschreibung Übersicht
| ||||||||
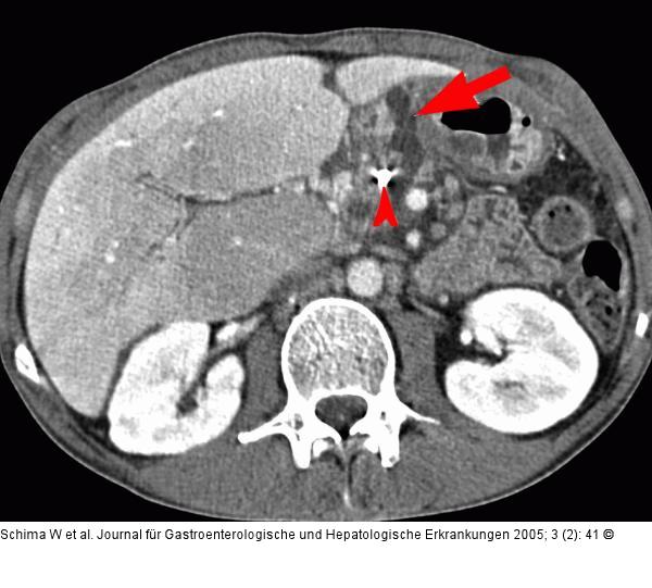
Abbildung 2a: Plastikstent - Pankreasnekrose Liegender Plastikstent (Pfeilspitze) und Pankreasnekrose mit Fistelbildung (Pfeil) |
Film starten
Abbildung 2a: Plastikstent - Pankreasnekrose
Liegender Plastikstent (Pfeilspitze) und Pankreasnekrose mit Fistelbildung (Pfeil) |
