Prokesch R Moderne Bildgebung bei Pankreastumoren Journal für Gastroenterologische und Hepatologische Erkrankungen 2005; 3 (3): 7-10 Volltext (PDF) Summary Übersicht | ||||||
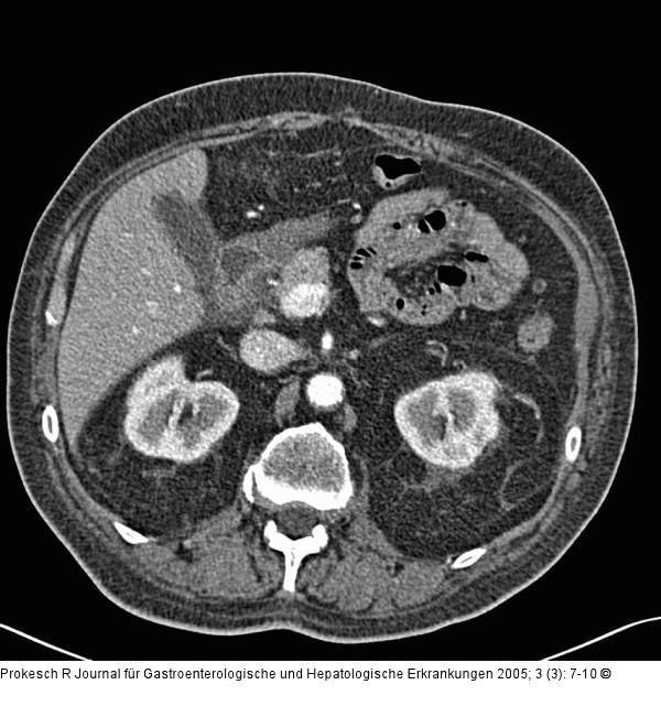
Abbildung 3a-b: Groove-Pankreatitis Pankreatitis, Computertomographie: Mäßiges Ödem zwischen Pankreaskopf und Duodenum (a) sowie im mesenteriellen Fettgewebe (b): Sogenannte Groove-Pankreatitis. |
Abbildung 3a
Abbildung 3b
Abbildung 3a-b: Groove-Pankreatitis
Pankreatitis, Computertomographie: Mäßiges Ödem zwischen Pankreaskopf und Duodenum (a) sowie im mesenteriellen Fettgewebe (b): Sogenannte Groove-Pankreatitis. |
