Lernbass I, Grampp S, Krestan C 56-jähriger Mann mir einer Bandläsion im Schultergelenk und röntgenologischen Verdacht auf Osteopenie/Osteoporose Journal für Mineralstoffwechsel & Muskuloskelettale Erkrankungen 2002; 9 (1): 34 Volltext (PDF) Übersicht | ||||||||||
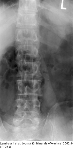
Abbildung 1: Skoliose Dezente skoliotische Fehlhaltung der LWS |
