Rau O, Reiher F, Effenberger O, Allhoff EP Stellenwert des Nativ-Spiral-CT in der Diagnostik von Ureterkonkrementen Journal für Urologie und Urogynäkologie 2006; 13 (1) (Ausgabe für Österreich): 14-16 Journal für Urologie und Urogynäkologie 2006; 13 (1) (Ausgabe für Schweiz): 13-15 Journal für Urologie und Urogynäkologie 2006; 13 (1) (Ausgabe für Deutschland): 12-14 Volltext (PDF) Summary Übersicht | ||||||||||
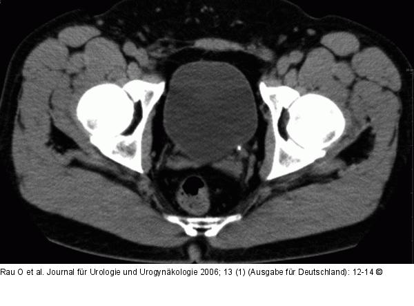
Abbildung 1: Harnleiterstein Unmittelbar prävesikal gelegener distaler Harnleiterstein links. Natives Spiral-CT. |
Abbildung 1: Harnleiterstein
Unmittelbar prävesikal gelegener distaler Harnleiterstein links. Natives Spiral-CT. |
