Schima W, Götzinger P Morbus Crohn - Wert der Multidetector-CT Journal für Gastroenterologische und Hepatologische Erkrankungen 2006; 4 (3): 31 Volltext (PDF) Übersicht
| ||||||
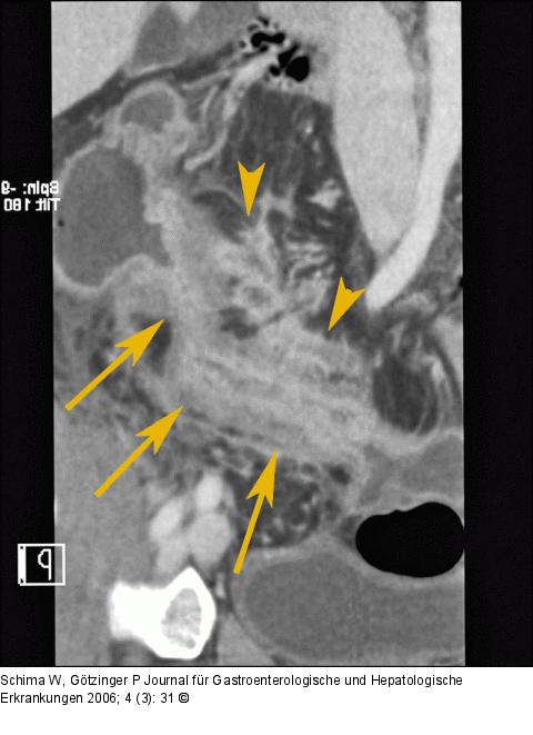
Abbildung 3: Neoterminales Ileum Die gekurvte Rekonstruktion (CPR) entlang des Darmes zeigt genau die septierten Abszesse (Pfeilspitzen) nahe dem neoterminalen Ileum (Pfeile). |
Abbildung 3: Neoterminales Ileum
Die gekurvte Rekonstruktion (CPR) entlang des Darmes zeigt genau die septierten Abszesse (Pfeilspitzen) nahe dem neoterminalen Ileum (Pfeile). |
