Schillinger M, Gutierrez E, Dünser E, Unger G, Huber K Fallbericht: Stentgraftimplantation zur Behandlung eines iatrogenen Aneurysma spurium der Arteria carotis communis Zeitschrift für Gefäßmedizin 2006; 3 (3): 10-15 Volltext (PDF) Übersicht | ||||||||||
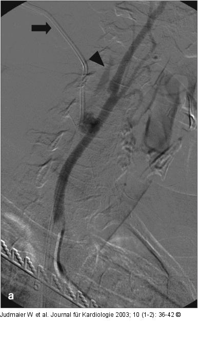
Abbildung 22-b: Arteria carotis communis Diagnostische Angiographie der rechten Arteria carotis communis mit einem 4 French-Sidewinder-II-Katheter: a) Darstellung eines etwa 20 mm im Durchmesser haltenden Aneurysma spurium der Arteria carotis communis 2 cm proximal der Karotisbifurkation. Weiters dargestellt sind der Schatten des zentralvenösen Katheters (Pfeil) sowie eine flaue Kontrastierung der Vena jugularis interna (Pfeilspitze) über eine AV-Fistel. b) Vergrößerung und Vermessung des Gefäßdurchmessers zur Auswahl eines passenden Stentgrafts nach Applikation von 0,1 ml Perlinganit: Die Arteria carotis communis mißt etwa 6,5 mm. |
Abbildung 22
Abbildung 2b
Abbildung 22-b: Arteria carotis communis
Diagnostische Angiographie der rechten Arteria carotis communis mit einem 4 French-Sidewinder-II-Katheter: a) Darstellung eines etwa 20 mm im Durchmesser haltenden Aneurysma spurium der Arteria carotis communis 2 cm proximal der Karotisbifurkation. Weiters dargestellt sind der Schatten des zentralvenösen Katheters (Pfeil) sowie eine flaue Kontrastierung der Vena jugularis interna (Pfeilspitze) über eine AV-Fistel. b) Vergrößerung und Vermessung des Gefäßdurchmessers zur Auswahl eines passenden Stentgrafts nach Applikation von 0,1 ml Perlinganit: Die Arteria carotis communis mißt etwa 6,5 mm. |
