Schima W, Ringl H, Stift A Aktuelle Bilder: Mukozele und neuroendokriner Tumor der Appendix Journal für Gastroenterologische und Hepatologische Erkrankungen 2008; 6 (1): 26-27 Volltext (PDF) Übersicht
| ||||||||
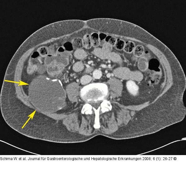
Abbildung 1a: Mukozele Die axiale MDCT zeigt einen wandverkalkten zystischen Tumor (Pfeile) im rechten Unterbauch, der Mukozele der Appendix entsprechend. |
Film starten
Abbildung 1a: Mukozele
Die axiale MDCT zeigt einen wandverkalkten zystischen Tumor (Pfeile) im rechten Unterbauch, der Mukozele der Appendix entsprechend. |
