Verlag für Medizin und Wirtschaft
Artikel
Bilder
Volltext
Mobile Version
A-
|
A
|
A+
Werbung
Abo
Bestellung Jahresabonnement (Print/elektronisch)
Bestellung kostenloses e-Journal-Abo
Mediadaten
Journale
News
Datenbanken
Suche Medizinische Publikationen
Suche Abbildungen und Grafiken
Medizinprodukte - Labortechnik
Antidotarium (Stand 2012)
Phytokodex (Stand 2012)
Fortbildung
Bücher
Fachbücher
Patientenliteratur
Impressum
Offenlegung
Kontakt
Disclaimers & Copyright
Allgemeine Geschäftsbedingungen
Datenschutzerklärung
Sitemap
Abbildungen und Graphiken
Hinterreiter F
Karotisendarteriektomie versus Karotisstent - die Studienlage
Zeitschrift für Gefäßmedizin 2012; 9 (3)
: 10-15
Volltext (PDF)
Summary
Praxisrelevanz
Abbildungen
Abbildung
Vollbildansicht
Karotisplaques
Abbildung 1: Karotisplaques
Keywords:
Foto
,
Gefäßchirurgie
,
Gefäßmedizin
,
Karotisplaques
,
Operationssitus
Vollbildansicht
Patchplastik
Abbildung 2: Patchplastik
Keywords:
Foto
,
Gefäßchirurgie
,
Gefäßmedizin
,
Operationssitus
,
Patchplastik
Vollbildansicht
Eversionsendarteriektomie
Abbildung 3: Eversionsendarteriektomie
Keywords:
Eversionendarterektomie
,
Foto
,
Gefäßchirurgie
,
Gefäßmedizin
,
Operationssitus
Vollbildansicht
Hirnmonitoring
Abbildung 4: Hirnmonitoring mittels SEP
Keywords:
Gefäßchirurgie
,
Gefäßmedizin
,
Hirnmonitoring
Vollbildansicht
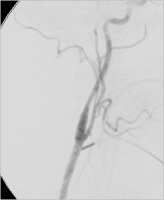
Angiographie
Abbildung 5: Intraoperative Angiographie
Keywords:
Angiographie
,
Gefäßchirurgie
,
Gefäßmedizin
,
Operationssitus
copyright © 2000–2026
Krause & Pachernegg GmbH
|
Sitemap
|
Datenschutz
|
Impressum
Werbung