Krause und Pachernegg
Verlag für Medizin und Wirtschaft
Artikel   Bilder   Volltext

Mobile Version
A-  |   A  |   A+
Werbung
 
Abbildungen und Graphiken
Ammann K et al.  
Thymom und Thymuskarzinom: Eine Übersicht

Interdisziplinäre Onkologie 2013; 5 (1): 53-57

Volltext (PDF)    Summary    Praxisrelevanz    Abbildungen   


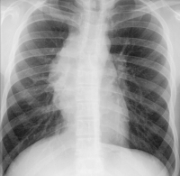
Abbildung
 
Thoraxröntgen
Abbildung 1: Thoraxröntgen eines 18-jährigen Patienten mit mediastinaler Verschattung.


Keywords: RöntgenbildThorax
 
 
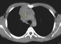
CT
Abbildung 2: Zugehöriges CT-Bild; ein ausgedehntes Thymom mit Kompression und Infiltration der V. cava superior (Pfeil).


Keywords: CTThoraxThymom
 
 
Thymus - Resektion
Abbildung 3: Intraoperativer Situs nach Resektion des Thymus, obere Bilobektomie (1) (Lungenunterlappen) wegen pulmonaler Infiltration, Resektion des N. phrenicus, Perikardresektion und Resektion der Bifurkation der beiden Venae anonymae; Rekonstruktion des Perikards mittels Vicrylnetz (2), Gefäßrekonstruktion mittels YDacron- Prothese (3). Nach zusätzlicher adjuvanter Radiochemotherapie ist der Patient nach 5 Jahren immer noch rezidivfrei.


Keywords: OperationssitusResektionThymus
 
 
 
copyright © 2000–2026 Krause & Pachernegg GmbH | Sitemap | Datenschutz | Impressum
 
Werbung