Ammann K, Möschel M, Wenzl E Thymom und Thymuskarzinom: Eine Übersicht Interdisziplinäre Onkologie 2013; 5 (1): 53-57 Volltext (PDF) Summary Praxisrelevanz Übersicht | ||||||
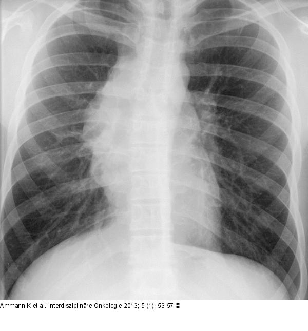
Abbildung 1: Thoraxröntgen Thoraxröntgen eines 18-jährigen Patienten mit mediastinaler Verschattung. |
Abbildung 1: Thoraxröntgen
Thoraxröntgen eines 18-jährigen Patienten mit mediastinaler Verschattung. |
