Verlag für Medizin und Wirtschaft
Artikel
Bilder
Volltext
Mobile Version
A-
|
A
|
A+
Werbung
Abo
Bestellung Jahresabonnement (Print/elektronisch)
Bestellung kostenloses e-Journal-Abo
Mediadaten
Journale
News
Datenbanken
Suche Medizinische Publikationen
Suche Abbildungen und Grafiken
Medizinprodukte - Labortechnik
Antidotarium (Stand 2012)
Phytokodex (Stand 2012)
Fortbildung
Bücher
Fachbücher
Patientenliteratur
Impressum
Offenlegung
Kontakt
Disclaimers & Copyright
Allgemeine Geschäftsbedingungen
Datenschutzerklärung
Sitemap
Abbildungen und Graphiken
Tomaselli F
Thoraxchirurgische Eingriffe in palliativer Intention
Interdisziplinäre Onkologie 2013; 5 (1)
: 58-60
Volltext (PDF)
Summary
Praxisrelevanz
Abbildungen
Abbildung
Vollbildansicht
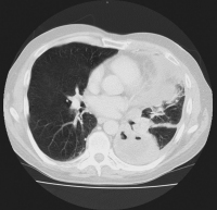
Thorax-CT
Abbildung 1: Präoperatives Thorax-CT bei therapierefraktärer Stenoseproblematik cT2-3cN2cM1 (cereb.)
Keywords:
Chirurgie
,
CT
,
Thorax
Vollbildansicht
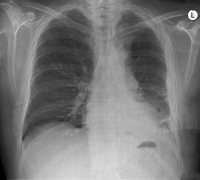
Thoraxröntgen
Abbildung 2: Postoperatives Thoraxröntgen (7.po) vor Entlassung
Keywords:
Chirurgie
,
Röntgenbild
,
Thorax
copyright © 2000–2026
Krause & Pachernegg GmbH
|
Sitemap
|
Datenschutz
|
Impressum
Werbung