Tomaselli F Thoraxchirurgische Eingriffe in palliativer Intention Interdisziplinäre Onkologie 2013; 5 (1): 58-60 Volltext (PDF) Summary Praxisrelevanz Übersicht | ||||
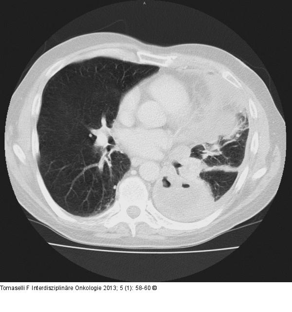
Abbildung 1: Thorax-CT Präoperatives Thorax-CT bei therapierefraktärer Stenoseproblematik cT2-3cN2cM1 (cereb.) |
Abbildung 1: Thorax-CT
Präoperatives Thorax-CT bei therapierefraktärer Stenoseproblematik cT2-3cN2cM1 (cereb.) |
