Krause und Pachernegg
Verlag für Medizin und Wirtschaft
Artikel   Bilder   Volltext

Mobile Version
A-  |   A  |   A+
Werbung
 
Abbildungen und Graphiken
Schützenberger S et al.  
Progressive spinobulbäre Spastik (primäre Lateralsklerose)

Journal für Neurologie, Neurochirurgie und Psychiatrie 2002; 3 (2): 57-58

Volltext (PDF)    Abbildungen   


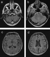
Abbildung
 
Primäre Lateralsklerose - Degeneration - Marklagerdefekte
Abbildung 1a-d: MRT 1,5T MRT(Symphony, Siemens). TIRM-Bilder (T2-Wichtung mit Absättigung des Liquor) in axialer Ebene. A: Degeneration im Bereich der Medulla oblongata mit beginnender Atrophie. B: Degeneration im Brückenfuß. C. Diskrete bilaterale Marklagerdefekte periventrikulär im Bereich der Hinterhörner. D: Diskrete bilaterale Marklagerdefekte periventrikulär.


Keywords: BrückenfußDegenerationHinterhornMagnetresonanztomographieMarklagerdefektMedulla oblongataNeurologieprimäre Lateralsklerose
 
 
 
copyright © 2000–2026 Krause & Pachernegg GmbH | Sitemap | Datenschutz | Impressum
 
Werbung