Verlag für Medizin und Wirtschaft
Artikel
Bilder
Volltext
Mobile Version
A-
|
A
|
A+
Werbung
Abo
Bestellung Jahresabonnement (Print/elektronisch)
Bestellung kostenloses e-Journal-Abo
Mediadaten
Journale
News
Datenbanken
Suche Medizinische Publikationen
Suche Abbildungen und Grafiken
Medizinprodukte - Labortechnik
Antidotarium (Stand 2012)
Phytokodex (Stand 2012)
Fortbildung
Bücher
Fachbücher
Patientenliteratur
Impressum
Offenlegung
Kontakt
Disclaimers & Copyright
Allgemeine Geschäftsbedingungen
Datenschutzerklärung
Sitemap
Abbildungen und Graphiken
Baguet JP et al.
European Society of Hypertension Scientific Newsletter: Hypertension and Aortic Disease
Journal für Hypertonie - Austrian Journal of Hypertension 2013; 17 (1)
: 34-37
Volltext (PDF)
Summary
Abbildungen
Abbildung
Vollbildansicht
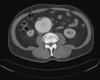
Aortenaneurysma
Abbildung 1: CT-Scan mit Kontrastmittelinjektion: Voluminöses abdominelles Aortenaneurysma mit einem muralen Thrombus.
Keywords:
Aortenaneurysma
,
CT-Scan
,
Hypertonie
,
muraler Trombus
Vollbildansicht
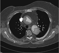
Aortendissektion
Abbildung 2: CT-Scan mit Kontrastmittelinjektion: Aortendissektion Typ A.
Keywords:
Aortenaneurysma
,
Aortendissektion
,
CT-Scan
,
Hypertonie
copyright © 2000–2026
Krause & Pachernegg GmbH
|
Sitemap
|
Datenschutz
|
Impressum
Werbung