Baguet JP, Chavanon O, Sessa C, Thony F, Lantelme P, Barone-Rochette G, Mallion JM European Society of Hypertension Scientific Newsletter: Hypertension and Aortic Disease Journal für Hypertonie - Austrian Journal of Hypertension 2013; 17 (1): 34-37 Volltext (PDF) Summary Übersicht | ||||
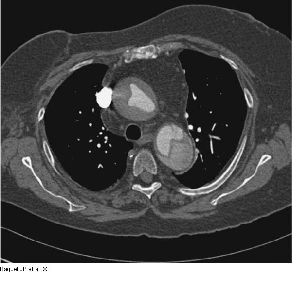
Abbildung 2: Aortendissektion CT-Scan mit Kontrastmittelinjektion: Aortendissektion Typ A. |
Abbildung 2: Aortendissektion
CT-Scan mit Kontrastmittelinjektion: Aortendissektion Typ A. |
