Krause und Pachernegg
Verlag für Medizin und Wirtschaft
Artikel   Bilder   Volltext

Mobile Version
A-  |   A  |   A+
Werbung
 
Abbildungen und Graphiken
Schneider N. I., Langner C  
Histologie der Refluxkrankheit und ihre Bedeutung für die Entstehung des Barrett-Ösophagus

Journal für Gastroenterologische und Hepatologische Erkrankungen 2014; 12 (1): 5-10

Volltext (PDF)    Summary    Fragen zum Artikel    Abbildungen   


Abbildung
 
Refluxkrankheit
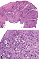
Abbildung 1a-b: (a) Regeneratorische Veränderungen des Plattenepithels des Ösophagus bei chronischem Reflux (hyperregeneratorische Ösophagopathie) mit Verbreiterung der Basalzelllagen und Verlängerung der Stromapapillen (original ×100). (b) Dilatation der Interzellularspalten und leichte entzündliche Infiltration (original ×200).


Keywords: HistologieRefluxkrankheitÖsophagus
 
 
Barrett-Ösophagus
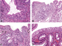
Abbildung 2a-d: (a) Mehrschichtiges Epithel (multilayered epithelium) an der gastroösophagealen Grenze, charakterisiert durch basale Zellen mit plattenepithelialer Differenzierung und luminale Zylinderepithelien (original ×200). (b, c) Kardiamukosa und mehrschichtiges Epithel (Pfeile) im Ausführungsgang eines Drüsenläppchens; Lokalisation der Biopsieentnahme somit im distalen Ösophagus ([b] original ×100; [c]: Ausschnitt von [b] original ×200). (d) Mehrschichtiges Epithel (obere Bildhälfte) assoziiert mit klassischer becherzellhaltiger Barrett-Mukosa (untere Bildhälfte, original ×100).


Keywords: Barrett-ÖsophagusHistologieRefluxkrankheit
 
 
 
copyright © 2000–2026 Krause & Pachernegg GmbH | Sitemap | Datenschutz | Impressum
 
Werbung