Krause und Pachernegg
Verlag für Medizin und Wirtschaft
Artikel   Bilder   Volltext

Mobile Version
A-  |   A  |   A+
Werbung
 
Abbildungen und Graphiken
Römer T et al.  
Management von Endometriumhyperplasien. Gemeinsame Stellungnahme der DGGEF und des BVF e. V.

Journal für Reproduktionsmedizin und Endokrinologie - Journal of Reproductive Medicine and Endocrinology 2014; 11 (4): 170-185

Volltext (PDF)    Summary    Abbildungen   


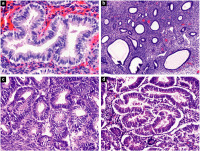
Abbildung
 
Endometriumveränderungen
Abbildung 1a-d: Endometriumveränderungen – Vom normalen Endometrium über eine Präkanzerose zum Endometriumkarzinom. (a): sekretorisch transformiertes EM mit typischen basalen Vakuolen (Klaviertastenphänomen); (b) glandulär-zystische Hyperplasie mit „Schweizer-Käse“-Muster der überwiegend ektatischen Drüsen; (c): komplexe adenomatöse Hyperplasie ohne Atypien; (d) atypische komplexe Hyperplasie/hochdifferenziertes Endometriumkarzinom. Zur Verfügung gestellt von S. Gattenlöhner.


Keywords: EndometriumHistologisches Präparat
 
 
Uterus
Abbildung 2a-f: Pathologische Veränderungen des Uterus, die für Blutungsstörungen verantwortlich sein können (links: hysteroskopische Bilder; Mitte: Ultraschallbilder; rechts: Histologie. Die Bilder sind nur beispielhaft und identisch mit dem Fall links). Alle Abbildungen von den Ko-Autoren zur Verfügung gestellt. Reihe 1: (a): Hyperplastisches Endometrium (Histologie: adenomatöse Hyperplasie) im hysteroskopischen Bild: Unregelmäßig konfigurierte, hochaufgebaute Schleimhautareale im Bereich des Uterusfundus, die beide Tubenosteen bedecken (S. Rimbach); (b): Glandulär-zystische Hyperplasie im Ultraschall: Noch gut begrenztes, jedoch hoch aufgebautes und zystisch verändertes Endometrium (M. Elsässer); (c) Glandulär-zystische Hyperplasie (histologischer Befund): Einfache Endometriumhyperplasie mit Ausbildung wulstiger, polypöser Epithelabfaltung und unregelmäßig proliferierten, glandulär-zystischen Endometriumdrüsen (ohne Atypien) (P. Sinn). Reihe 2: (d): Endometriumkarzinom im hysteroskopischen Bild: Unregelmäßig konfigurierte, hochaufgebaute Endometriumschleimhaut im Uterusfundusbereich mit z. T. soliden Arealen (S. Rimbach); (e): Korpuskarzinom im Ultraschall: Typisches Bild eines Endometriumkarzinoms, welches sich durch intrakavitäre Flüssigkeit, solide-papilläre intrakavitäre Strukturen und schlechte Abgrenzbarkeit (hier zur Vorderwand) zeigt (M. Elsässer); (f): Korpuskarzinom (histologischer Befund): Oberflächliche Formationen eines gut differenzierten, endometrioiden Adenokarzinoms des Corpus uteri (P. Sinn).


Keywords: HysteroskopieUltraschallUterus
 
 
 
copyright © 2000–2026 Krause & Pachernegg GmbH | Sitemap | Datenschutz | Impressum
 
Werbung