Römer T, Rabe T, Albring C, Bitzer J, Egarter C, Elsässer M, Gattenlöhner S, König K, Merki G, Merkle E, Mueck AO, Rimbach S, Sinn P, Stute P, Wallwiener M Management von Endometriumhyperplasien. Gemeinsame Stellungnahme der DGGEF und des BVF e. V. Journal für Reproduktionsmedizin und Endokrinologie - Journal of Reproductive Medicine and Endocrinology 2014; 11 (4): 170-185 Volltext (PDF) Summary Übersicht | ||||
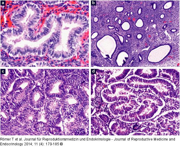
Abbildung 1a-d: Endometriumveränderungen Endometriumveränderungen – Vom normalen Endometrium über eine Präkanzerose zum Endometriumkarzinom. (a): sekretorisch transformiertes EM mit typischen basalen Vakuolen (Klaviertastenphänomen); (b) glandulär-zystische Hyperplasie mit „Schweizer-Käse“-Muster der überwiegend ektatischen Drüsen; (c): komplexe adenomatöse Hyperplasie ohne Atypien; (d) atypische komplexe Hyperplasie/hochdifferenziertes Endometriumkarzinom. Zur Verfügung gestellt von S. Gattenlöhner. |
Abbildung 1a-d: Endometriumveränderungen
Endometriumveränderungen – Vom normalen Endometrium über eine Präkanzerose zum Endometriumkarzinom. (a): sekretorisch transformiertes EM mit typischen basalen Vakuolen (Klaviertastenphänomen); (b) glandulär-zystische Hyperplasie mit „Schweizer-Käse“-Muster der überwiegend ektatischen Drüsen; (c): komplexe adenomatöse Hyperplasie ohne Atypien; (d) atypische komplexe Hyperplasie/hochdifferenziertes Endometriumkarzinom. Zur Verfügung gestellt von S. Gattenlöhner. |
