Krause und Pachernegg
Verlag für Medizin und Wirtschaft
Artikel   Bilder   Volltext

Mobile Version
A-  |   A  |   A+
Werbung
 
Abbildungen und Graphiken
Oberndorfer S et al.  
Interdisziplinäre neuroonkologische Betreuung eines Patienten mit sekundärem Glioblastom

Tumorboard 2014; 3 (2): 13-16

Volltext (PDF)    Praxisrelevanz    Abbildungen   


Abbildung
 
Glioblastom
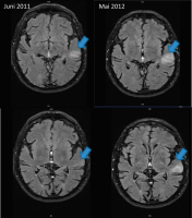
Abbildung 1: MRT/FLAIR vom Juni 2011 (radiologische Erstdiagnose) und präbioptisch im Mai 2012: zunehmende hyperintense Signalalteration links temporal (blauer Pfeil)


Keywords: FLAIRGlioblastomhyperintense SignalalterationMRTOnkologie
 
 
Glioblastom
Abbildung 2: MRT (KM/FLAIR/pMRT) und FET-PET vom September 2013. Leichte KM-Aufnahme, zunehmende T2-hyperintense Läsion, sowie beginnende Hyperperfusion in der pMRT (CBV), als indirekte Zeichen einer Malignisierung. Ebenso in der FET-PET-Untersuchung vermehrter Tracer-Uptake links-temporal (Tumorbereich mit Pfeil markiert)


Keywords: FET-PETFLAIRGlioblastomMRTOnkologie
 
 
Glioblastom
Abbildung 3: Follow-up-Imaging vom Februar 2014: MRT + KM, MRT FLAIR und pMRT, sowie FET-PET zeigen deutliche Hinweise für „Pseudoprogression“. Deutlich ausgeprägte KM-Aufnahme (MRT + KM), verminderte Perfusion in der pMRT und herabgesetzte Traceraufnahme im FET-PET im Vergleich zum Vorbefund (Tumorbereich mit Pfeil markiert)


Keywords: FET-PETFLAIRGlioblastomMRTOnkologie
 
 
Glioblastom
Abbildung 4: Follow-up-Imaging vom Mai 2014: MRT + KM, MRT-FLAIR und pMRT, sowie FET-PET zeigen nach wie vor keine eindeutigen Hinweise auf Tumoraktivität. Vergleiche Abb. 2 und 3 (Tumorbereich mit Pfeil markiert)


Keywords: FET-PETFLAIRGlioblastomMRTOnkologie
 
 
Glioblastom
Abbildung 5: Follow-up-Imaging vom Juni 2014: im FET-PET trotz rezidivierender fokal komplexer Anfälle kein vermehrter Tracer-Uptake im Vergleich zu den Vorbildern vom Mai 2014


Keywords: FET-PETGlioblastomOnkologie
 
 
 
copyright © 2000–2026 Krause & Pachernegg GmbH | Sitemap | Datenschutz | Impressum
 
Werbung