Oberndorfer S, Ungersböck K, Moser W, Riedlberger U, Marhold F, Heinz G, Sedivy R, Brustbauer R, Kopetzky G, Vyhnalik M, Balcke P Interdisziplinäre neuroonkologische Betreuung eines Patienten mit sekundärem Glioblastom Tumorboard 2014; 3 (2): 13-16 Volltext (PDF) Praxisrelevanz Übersicht | ||||||||||
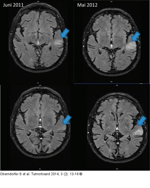
Abbildung 1: Glioblastom MRT/FLAIR vom Juni 2011 (radiologische Erstdiagnose) und präbioptisch im Mai 2012: zunehmende hyperintense Signalalteration links temporal (blauer Pfeil) |
Abbildung 1: Glioblastom
MRT/FLAIR vom Juni 2011 (radiologische Erstdiagnose) und präbioptisch im Mai 2012: zunehmende hyperintense Signalalteration links temporal (blauer Pfeil) |
