Krause und Pachernegg
Verlag für Medizin und Wirtschaft
Artikel   Bilder   Volltext

Mobile Version
A-  |   A  |   A+
Werbung
 
Abbildungen und Graphiken
Tonnhofer U et al.  
Von der Pränataldiagnostik zur Therapie: Tumoren in Neonaten

Speculum - Zeitschrift für Gynäkologie und Geburtshilfe 2015; 33 (1) (Ausgabe für Österreich): 25-27

Volltext (PDF)    Abbildungen   


Abbildung
 
Pränataldiagnostik-Therapie
Abbildung 1: Entwicklung der Fallzahlen des fetalen MRT bei chirurgischen Diagnosen.


Keywords: chirurgische DiagnoseDiagrammfetales MRTKinderchirurgiePränataldiagnostikSpeculum
 
 
Pränataldiagnostik-Therapie
Abbildung 2a-b: (a) Fetales MRT Teratom; (b) Kindesentwicklung Teratom, Vorbereitung für EXIT


Keywords: EXIT-ProcedureFotoKinderchirurgieMRTPränataldiagnostikSpeculumTeratom
 
 
Pränataldiagnostik-Therapie
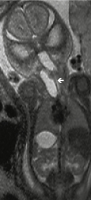
Abbildung 3: Fetales MRT branchiogene Zyste.


Keywords: branchiogene ZysteMRTPränataldiagnostikSpeculum
 
 
Pränataldiagnostik-Therapie
Abbildung 4a-b: (a) Fetales MRT bronchogene Zyste; (b) OP-Situs.


Keywords: bronchogene ZysteFotoKinderchirurgieMRTPränataldiagnostikSpeculum
 
 
Pränataldiagnostik-Therapie
Abbildung 5a-b: (a) Postpartales MR Cholangiographie; (b) OP-Situs.


Keywords: CholangiographieFotoKinderchirurgieMRPränataldiagnostikSpeculum
 
 
Pränataldiagnostik-Therapie
Abbildung 6a-b: (a) Fetales MRT Ovarialzyste rechts; (b) OP-Situs.


Keywords: FotoKinderchirurgieMRTOvarialzystePränataldiagnostikSpeculum
 
 
Pränataldiagnostik-Therapie
Abbildung 7a-b: (a) Fetales MRT Ovarialteratom rechts; (b) OP-Situs


Keywords: FotoKinderchirurgieMRTOvarialteratomPränataldiagnostikSpeculum
 
 
Pränataldiagnostik-Therapie
Abbildung 8a-b: (a) Postnatales MRT Lebertumor; (b) OP-Situs.


Keywords: FotoLebertumorMRTPränataldiagnostikSpeculum
 
 
Pränataldiagnostik-Therapie
Abbildung 9a-b: (a) Fetales MRT Steißteratom; (b) Neugeborenes präoperativ.


Keywords: FotoKinderchirurgieMRTPränataldiagnostikSpeculumSteißteratom
 
 
 
copyright © 2000–2026 Krause & Pachernegg GmbH | Sitemap | Datenschutz | Impressum
 
Werbung