Tonnhofer U, Gruber GM, Horcher E, Dadak C, Klebermasz-Schrehof K, Prayer D, Metzelder M Von der Pränataldiagnostik zur Therapie: Tumoren in Neonaten Speculum - Zeitschrift für Gynäkologie und Geburtshilfe 2015; 33 (1) (Ausgabe für Österreich): 25-27 Volltext (PDF) Übersicht | ||||||||||||||||
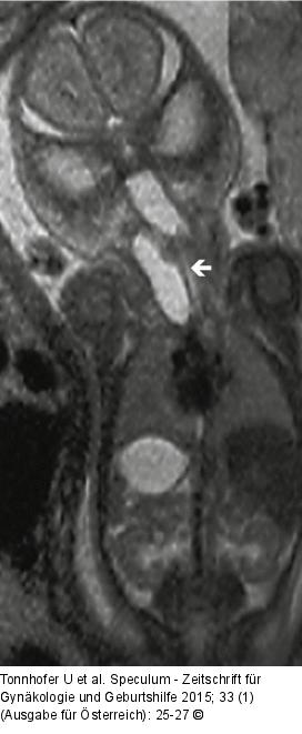
Abbildung 3: Pränataldiagnostik-Therapie Fetales MRT branchiogene Zyste. |
Abbildung 3: Pränataldiagnostik-Therapie
Fetales MRT branchiogene Zyste. |
