Krause und Pachernegg
Verlag für Medizin und Wirtschaft
Artikel   Bilder   Volltext

Mobile Version
A-  |   A  |   A+
Werbung
 
Abbildungen und Graphiken
Binder T  
Echokardiographie aktuell: Kongenital korrigierte Transposition der großen Gefäße (ccTGA)

Journal für Kardiologie - Austrian Journal of Cardiology 2002; 9 (7-8): 343-344

Volltext (PDF)    Abbildungen   


Abbildung
 
Kongenital korrigierte Transposition der großen Gefäße (ccTGA)
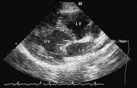
Abbildung 1: Parasternale lange Achse. Anstelle des linken Ventrikels (LV) findet sich ein morphologisch rechter Ventrikel (RV). Da die AV-Klappe immer mit dem jeweiligen Ventrikel assoziiert ist, sieht man in der parasternalen langen Achse die Trikuspidalklappe (TV); IVS = interventrikuläres Septum.


Keywords: AV-KlappeEchokardiographieFallberichtKardiologielinker Ventrikelrechter VentrikelTrikuspidalklappe
 
 
Kongenital korrigierte Transposition der großen Gefäße (ccTGA)
Abbildung 2: Vierkammerblick: Die linksseitig gelegene AV-Klappe (morphologisch Trikuspidalklappe, TV) inseriert weiter apikal als die rechtsseitige AV-Klappe (morphologisch Mitralklappe, MV): die typische Dreiecksform des linken Herzohrs charakterisiert den linken Vorhof (LA); LV = (morphologisch) linker Ventrikel, RA = rechter Vorhof, RV = (morphologisch) rechter Ventrikel.


Keywords: AV-KlappeEchokardiographieFallberichtHerzohrKardiologielinker VorhofMitralklappeTrikuspidalklappeVierkammerblick
 
 
Kongenital korrigierte Transposition der großen Gefäße (ccTGA)
Abbildung 3: Vierkammerblick: Das Vorhandensein eines Moderatorbandes (Muskelstrang, welcher quer durch den Ventrikel verläuft) und die starke Trabekulierung charakterisieren den rechten Ventrikel; LA = linker Vorhof; LV = (morphologisch) linker Ventrikel; RA = rechter Vorhof, RV = (morphologisch) rechter Ventrikel.


Keywords: EchokardiographieFallberichtKardiologieModeratorbandrechter VentrikelTrabekelVierkammerblick
 
 
Kongenital korrigierte Transposition der großen Gefäße (ccTGA)
Abbildung 4: Parasternale kurze Achse in Höhe der großen Gefäße. Die Aorta (Ao) und die Art. pulmonalis (PA) verlaufen parallel zueinander, wobei die Aorta links neben der Art. pulmonalis verläuft; AK = Aortenklappe, PK = Pulmonalklappe.


Keywords: Aorta pulmonalisArteria pulmonalisEchokardiographieFallberichtKardiologie
 
 
 
copyright © 2000–2026 Krause & Pachernegg GmbH | Sitemap | Datenschutz | Impressum
 
Werbung