Krause und Pachernegg
Verlag für Medizin und Wirtschaft
Artikel   Bilder   Volltext

Mobile Version
A-  |   A  |   A+
Werbung
 
Abbildungen und Graphiken
Meng S  
Der Schilddrüsenfall: Lymphknoten – Teil 1

Journal für Klinische Endokrinologie und Stoffwechsel - Austrian Journal of Clinical Endocrinology and Metabolism 2015; 8 (2): 54-55

Volltext (PDF)    Abbildungen   


Abbildung
 
Ultraschall-Lymphknoten
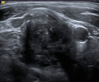
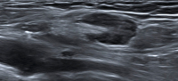
Abbildung 1: Normalbefund zervikal. Diesen kennzeichnet eine scharfe Begrenzung, ein echoreicher Hilus, eine gleichmäßige Breite des Kortex, eine reguläre Größe und ovale Form.


Keywords: B-Bild-SonographieLymphknotenUltraschall
 
 
Ultraschall-Lymphknoten
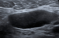
Abbildung 2: Fehlender Hilus. Dieser Lymphknoten weist keinen Hilus auf, alle anderen Kriterien sind jedoch erfüllt. Tumorzellen destruieren die reguläre Architektur des Lymphknotens und führen so zu einer Obliteration der Hilusstruktur. „Diffuse large B-cell lymphoma“ (DLBCL).


Keywords: B-Bild-SonographieDLBCLLymphknotenUltraschall
 
 
Ultraschall-Lymphknoten
Abbildung 3: Lymphknotengröße. Bei diesem Lymphknoten aus dem Level 2 sind sowohl der Quer- als auch der Längsdurchmesser zu groß für diesen Halsabschnitt (quer max. 7–8 mm). „Diffuse large B-cell lymphoma“ (DLBCL).


Keywords: B-Bild-SonographieDLBCLLymphknotenUltraschall
 
 
Ultraschall-Lymphknoten
Abbildung 4: Fehlende Gleichmäßigkeit des Lymphknotenkortex. Besonders am rechten Rand des Lymphknotens fällt die exzentrische Verbreiterung des Kortex auf. Hodgkin-Lymphom-Rezidiv.


Keywords: B-Bild-SonographieHodgkin-Lymphom-RezidivLymphknotenUltraschall
 
 
Ultraschall-Lymphknoten
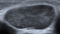
Abbildung 5: Äußere Form des Lymphknotens. Die Außenkontur des Lymphknotens ist kugelig. B-Zell-Lymphom.


Keywords: B-Bild-SonographieB-Zell-LymphomLymphknotenUltraschall
 
 
Ultraschall-Lymphknoten
Abbildung 6: Homogenitätsverlust der Binnenstruktur. Im Inneren des Lymphknotens ist nicht mehr die reguläre Architektur zu erkennen, stattdessen herrscht im Inneren ein Chaos. Somit ist dies ein eindeutiges Zeichen der Destruktion durch Tumorinfiltration. Adenokarzinommetastase eines Lungentumors.


Keywords: AdenokarzinommetastaseB-Bild-SonographieLymphknotenUltraschall
 
 
Ultraschall-Lymphknoten
Abbildung 7: Homogenitätsverlust der Binnenstruktur. Scheinbar homogene, nahezu echoleere und somit zystisch erscheinende Lymphknoten können bei entsprechender Einstellung der Geräteparameter eine mikronoduläre Struktur aufweisen. Dies ist typisch für Lymphome. „Small lymphocytic lymphoma“ (SLL).


Keywords: B-Bild-SonographieLymphknotenSLLUltraschall
 
 
Ultraschall-Lymphknoten
Abbildung 8: Homogenitätsverlust der Binnenstruktur. Lymphom-Lymphknoten in Therapie können eine äußerst inhomogene Binnenstruktur aufweisen. Das ist ein Zeichen der Therapie und kann nicht per se als Komplikation angesehen werden. Eine Sicherheit in der Interpretation ist klarerweise nur mit entsprechender Anamnese bzw. mit einem zeitlichen Befundverlauf zu erlangen. Chronische lymphatische Leukämie (CLL).


Keywords: B-Bild-SonographieLymphknotenSLLUltraschall
 
 
Ultraschall-Lymphknoten
Abbildung 9: Begrenzung. Bei diesem Lymphknoten fällt eine Unterbrechung der scharfen Begrenzung auf 11 Uhr auf. Hier infiltriert ein fingerförmiger Tumorausläufer aus dem Lymphknoten den Musculus sternocleidomastoideus. Tonsillenkarzinommetastase.


Keywords: B-Bild-SonographieLymphknotenTonsillenkarzinommetastaseUltraschall
 
 
Ultraschall-Lymphknoten
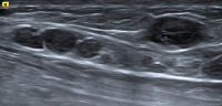
Abbildung 10: Muster der Lymphadenopathie. Fallen mehrere alterierte Lymphknoten auf, kann das Befallmuster v. a. im Hinblick auf die Anamnese aussagekräftig sein. Lymphknotenmetastasen nach lokoregionärem Melanom.


Keywords: B-Bild-SonographieLymphknotenMetastaseUltraschall
 
 
 
copyright © 2000–2026 Krause & Pachernegg GmbH | Sitemap | Datenschutz | Impressum
 
Werbung