Meng S Der Schilddrüsenfall: Lymphknoten – Teil 1 Journal für Klinische Endokrinologie und Stoffwechsel - Austrian Journal of Clinical Endocrinology and Metabolism 2015; 8 (2): 54-55 Volltext (PDF) Übersicht | ||||||||||||||||||
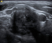
Abbildung 6: Ultraschall-Lymphknoten Homogenitätsverlust der Binnenstruktur. Im Inneren des Lymphknotens ist nicht mehr die reguläre Architektur zu erkennen, stattdessen herrscht im Inneren ein Chaos. Somit ist dies ein eindeutiges Zeichen der Destruktion durch Tumorinfiltration. Adenokarzinommetastase eines Lungentumors. |
Abbildung 6: Ultraschall-Lymphknoten
Homogenitätsverlust der Binnenstruktur. Im Inneren des Lymphknotens ist nicht mehr die reguläre Architektur zu erkennen, stattdessen herrscht im Inneren ein Chaos. Somit ist dies ein eindeutiges Zeichen der Destruktion durch Tumorinfiltration. Adenokarzinommetastase eines Lungentumors. |
