Krause und Pachernegg
Verlag für Medizin und Wirtschaft
Artikel   Bilder   Volltext

Mobile Version
A-  |   A  |   A+
Werbung
 
Abbildungen und Graphiken
Meng S  
Der Schilddrüsenfall: Lymphknoten – Teil 2

Journal für Klinische Endokrinologie und Stoffwechsel - Austrian Journal of Clinical Endocrinology and Metabolism 2015; 8 (3): 80-81

Volltext (PDF)    Abbildungen   


Abbildung
 
Lymphknoten-Ultraschall
Abbildung 1: Normalbefund, intranodale Gefäßarchitektur. Normalerweise sind die Lymphknotengefäße baumartig vom Hilus ausgehend. Die Verästelung ist regelmäßig. Die Gefäße sind am Außenrand des Cortex so klein, daß sie mit Farb- und Powerdoppler (derzeit noch) nicht erkennbar sind. In diesem Fall ist die Gefäßzeichnung nur minimal verstärkt im Rahmen einer infektiösen Mononukleose.


Keywords: DopplersonographieLymphknotenNormalbefundUltraschall
 
 
Lymphknoten-Ultraschall
Abbildung 2: Pathologische Gefäßarchitektur. In diesem Fall sind mehrere Ausgangspunkte für Gefäßbäume zu erkennen. Starke Flowsignale sind auch in der Peripherie des Cortex zu erkennen. Lymphom (DLBCL)


Keywords: DopplersonographieLymphknotenpathologische GefäßarchitekturUltraschall
 
 
Lymphknoten-Ultraschall
Abbildung 3: Pathologische Gefäßarchitektur. Zwei suspekte Lymphknoten nebeneinander. In jedem Lymphknoten ist das Chaos der Gefäßarchitektur zu erkennen. Plattenepithelkarzinommetastasen.


Keywords: DopplersonographieLymphknotenpathologische GefäßarchitekturUltraschall
 
 
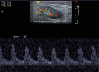
Lymphknoten-Ultraschall
Abbildung 4: PW-Doppler-Analyse. In der Literatur sind immer wieder Hinweise auf die Wichtigkeit der Analyse der Flusskurven intranodaler Arterien zu finden. Die relevanten Schwellenwerte für Resistance Index (RI) oder Pulsatilitätsindex (PI) schwanken in der Literatur stark. Prinzipiell sei bei pathologischen Lymphknoten mit einem eher hohen peripheren Widerstand mit entsprechenden RI und PI zu rechnen. An dieser Stelle seien dem geneigten Leser freie Gedanken zur zeitlichen Durchführbarkeit von Flussmessungen gegebenenfalls mehrerer Lymphknotenarterien mehrerer Lymphknoten mit den passenden Geräteeinstellungen innerhalb der täglichen Routine selbst überlassen. Lymphom.


Keywords: LymphknotenPW-DopplerUltraschall
 
 
Lymphknoten-Ultraschall
Abbildung 5: Ultraschallkontrastmittel. Das Ultraschallkontrastmittel verbleibt als rein gefäßgängiges Kontrastmittel nur in den Blutfgefäßen und tritt nicht in das Parenchym über. Das Signal stellt somit ausschließlich das Kapillarnetz sowie die zu- und abführenden Gefäße dar. Normalbefund.


Keywords: KontrastmittelLymphknotenUltraschall
 
 
Lymphknoten-Ultraschall
Abbildung 6: Ein bereits nativ suspekter Lymphknoten (zervikale Adenokarzinommetastase von der Lunge) zeigt im Power-Doppler kaum ein Gefäßsignal, nach Kontrastmittelapplikation ein heterogenes Enhancement, v.a. mit einzelnen Kontrastmittelaussparungen.


Keywords: LymphknotenPower-DopplerUltraschall
 
 
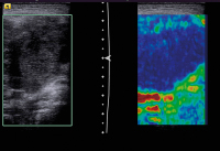
Lymphknoten-Elastographie
Abbildung 7: Qualitative Elastographie. In dieser Messung stellt sich die in der linken Bildhälfte partiell abgebildete Lymphknotenmetastase eines Plattenepithelkarzinoms in der rechten Bildhälfte als in Blau kodierte harte Läsion dar. In Rot und Grün die eher weich kodierten Areale.


Keywords: ElastographieLymphknotenUltraschall
 
 
Lymphknoten-Elastographie
Abbildung 8: Elastographie. Hier stellen sich beim gleichen Patienten wie in Abbildung 7 und gleichen Lymphknoten die harten Areale in der rechten Bildhälfte dunkel dar. Weiche Areale werden hell kodiert. Eine definierte mechanische Energie wird über den Ultraschallkristall eingebracht.


Keywords: ElastographieLymphknotenUltraschall
 
 
 
copyright © 2000–2026 Krause & Pachernegg GmbH | Sitemap | Datenschutz | Impressum
 
Werbung