| Brezinka C | ||||||||||||||||||||||||||||||||||||||||||||||||||||
|---|---|---|---|---|---|---|---|---|---|---|---|---|---|---|---|---|---|---|---|---|---|---|---|---|---|---|---|---|---|---|---|---|---|---|---|---|---|---|---|---|---|---|---|---|---|---|---|---|---|---|---|---|
|
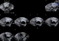
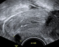
Tipps und Tricks im Gyn-Ultraschall: Ovula Nabothii – Die Eier des Martin Naboth. Wissenswertes zu einem Nebenbefund
Journal für Gynäkologische Endokrinologie 2016; 10 (1) (Ausgabe für Österreich): 12-14 Journal für Gynäkologische Endokrinologie 2016; 10 (1) (Ausgabe für Schweiz): 12-14 Volltext (PDF) Abbildungen
|
||||||||||||||||||||||||||||||||||||||||||||||||||||
