Brezinka C Tipps und Tricks im Gyn-Ultraschall: Ovula Nabothii – Die Eier des Martin Naboth. Wissenswertes zu einem Nebenbefund Journal für Gynäkologische Endokrinologie 2016; 10 (1) (Ausgabe für Österreich): 12-14 Journal für Gynäkologische Endokrinologie 2016; 10 (1) (Ausgabe für Schweiz): 12-14 Volltext (PDF) Übersicht | ||||||||||||||||
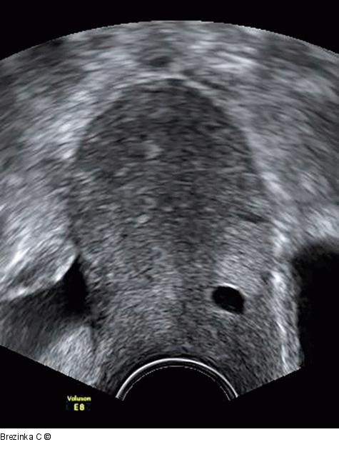
Abbildung 3: Ovulum Nabothii Ein 6 mm großes Ovulum Nabothii auf der Höhe des Übergangs Zervix-Corpus uteri. Die echoleere Zyste verursacht das Artefakt der distalen Schallverstärkung. |
Abbildung 3: Ovulum Nabothii
Ein 6 mm großes Ovulum Nabothii auf der Höhe des Übergangs Zervix-Corpus uteri. Die echoleere Zyste verursacht das Artefakt der distalen Schallverstärkung. |
