Krause und Pachernegg
Verlag für Medizin und Wirtschaft
Artikel   Bilder   Volltext

Mobile Version
A-  |   A  |   A+
Werbung
 
Abbildungen und Graphiken
Mori M  
Kardiale Magnetresonanztomographie: regionale und globale Myokardfunktion

Journal für Kardiologie - Austrian Journal of Cardiology 2003; 10 (1-2): 13-16

Volltext (PDF)    Summary    Abbildungen   


Abbildung
 
Kardiale Magnetresonanztomographie
Abbildung 1: Planung der Kurzachsenschnitte: Lage der Schnitte zur Erstellung der Kurzachsen - Cineloops perpendikular zur horizontalen Achse (HLA). Abstand der Schichten: 10 mm


Keywords: HerzKardiologieMagnetresonanztomogrammMagnetresonanztomographieThorax
 
 
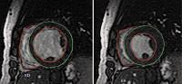
Kardiale Magnetresonanztomographie
Abbildung 2: Kurzachsenschnitt in Höhe der Papillarmuskeln (links enddiastolisch = ED, rechts endsystolisch = ES). Epikard des linken Ventrikels und Endokard beider Ventrikel sind markiert


Keywords: HerzKardiologieMagnetresonanztomogrammMagnetresonanztomographieThorax
 
 
Kardiale Magnetresonanztomographie
Abbildung 3: Screenshot der Auswerte-Software (Siemens Argus), Darstellung der einzelnen Cineloops mit Festlegung des enddiastolischen und endsystolischen Bildes, Markierung des Endo- und Epikards. Halbautomatische Konturerkennung


Keywords: HerzKardiologieMagnetresonanztomogrammMagnetresonanztomographieThorax
 
 
 
copyright © 2000–2026 Krause & Pachernegg GmbH | Sitemap | Datenschutz | Impressum
 
Werbung