Krause und Pachernegg
Verlag für Medizin und Wirtschaft
Artikel   Bilder   Volltext

Mobile Version
A-  |   A  |   A+
Werbung
 
Abbildungen und Graphiken
Valipour A  
Fallquiz

Journal für Pneumologie 2018; 6 (1): 30-33

Volltext (PDF)    Abbildungen   


Abbildung
 
EKG
Abbildung 1: EKG


Keywords: EKG
 
 
Spirometrie
Abbildung 2: Spirometrie (Fluss-Volumenkurve).


Keywords: Spirometrie
 
 
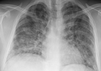
Thoraxröntgen
Abbildung 3: Thoraxröntgen


Keywords: Thoraxröntgen
 
 
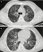
Thorax-CT
Abbildung 4a-b: Thorax-CT-Befund. Es finden sich im Bereich beider Lungen ohne basoapikalen Gradienten fleckigkonfluierende, lobuläre Areale an Milchglastrübungen sowie betonte Intralobulär- und Interlobulärsepten im Sinne eines „crazy paving“. Der Lungenkern ist tendenziell stärker von den Veränderungen betroffen, die unmittelbare subpleurale Lunge ist teilweise ausgespart bzw. geringer betroffen. Soweit nativmorphologisch beurteilbar kein Nachweis pathologisch vergrößerter mediastinaler, hilärer oder axillärer Lymphknoten. Die Pleura stellt sich nativ morphologisch unauffällig dar. Kein Pleuraerguss.


Keywords: CTThorax
 
 
 
copyright © 2000–2026 Krause & Pachernegg GmbH | Sitemap | Datenschutz | Impressum
 
Werbung