Krause und Pachernegg
Verlag für Medizin und Wirtschaft
Artikel   Bilder   Volltext

Mobile Version
A-  |   A  |   A+
Werbung
 
Abbildungen und Graphiken
Zechner P et al.  
Echo-Standards: Pulmonalklappe // Echo Standards: Pulmonary valve

Journal für Kardiologie - Austrian Journal of Cardiology 2024; 31 (5-6): 130-134

Volltext (PDF)    Summary    Abbildungen   


Abbildung
 
Echo
Abbildung 1: Patient mit schwerer PI bei Karzinoid (neuroendokriner TU); die PK-Taschen (Pfeil: die Taschen sind nur schwer zu sehen) sind überall verdickt und unbeweglich. Bei einer postrheumatischen PI/PS wären nur die Spitzen verkalkt.


Keywords: EchoKardiologie
 
 
Echo
Abbildung 2: Gleicher Patient wie in Abb. 1, apikaler Blick auf die Trikuspidalklappe, die sich kaum bewegt und auch in der Systole offen bleibt, sodass eine schwere TI resultiert. Auch die TK ist im gesamten schwer sklerotisch und unbeweglich. BEMERKUNG: Wenn man gleichzeitig eine unbewegliche TK und PK sieht, sollte man an ein Karzinoid-Syndrom denken!


Keywords: EchoKardiologie
 
 
Echo
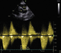
Abbildung 3: Gleicher Patient wie in Abb. 1+2; parasternale kurze Achse mit CW-Doppler über der PK. Die schwere PI erkennt man am steil dezelerierenden Insuffizienzspektrum (schräger Pfeil nach unten), sodass der Rückfluss bereits in der Mitte der Diastole aufhört. Der spätdiastolische Vorwärtsfluss nach der P-Welle (Pfeil nach unten) zeigt den Druckausgleich zwischen Pulmonalis und Ventrikel bereits in der späten Systole an.


Keywords: EchoKardiologie
 
 
Echo
Abbildung 4: Parasternale kurze Achse über Aorta und PK; Z. n. OP bei TOF, schwere PI. Im Farbdoppler sieht man nur in der frühen Diastole den roten Rückfluss (rot = zum Schallkopf) bis weit in den Pulmonalishauptstamm bzw. sogar bis in die PA-Äste. ACHTUNG: Da der Rückfluss nur in der frühen Systole stark ausgeprägt ist, kann er leicht unterschätzt werden.


Keywords: EchoKardiologie
 
 
Echo
Abbildung 5: Gleiche Patientin wie Abb. 4, PSAX; bei einer schweren PI zeigt sich das steil abfallende Insuffizienzspektrum, am Ende der Diastole kein Rückfluss mehr.


Keywords: EchoKardiologie
 
 
Echo
Abbildung 6: Gleiche Patientin wie in Abb. 4 und 5: M-Mode durch den linken Ventrikel (PSAX). Typisch ist bei rechtsventrikulärer Volumenbelastung die diastolische Septumabplattung (Pfeil nach unten). Das Septum müsste sich normalerweise in der Systole nach unten bewegen, tut dies aber in der Diastole.


Keywords: EchoKardiologie
 
 
 
copyright © 2000–2026 Krause & Pachernegg GmbH | Sitemap | Datenschutz | Impressum
 
Werbung