| Florian A et al. | ||||||||||
|---|---|---|---|---|---|---|---|---|---|---|
|
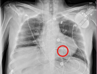
Aktuelles: Fortgeschrittene Herzinsuffizienz: CardioMEMS zur Reduktion invasiver Katheteruntersuchungen bei HTX-Kandidatinnen und -Kandidaten mit sekundärer pulmonaler Hypertonie
Journal für Kardiologie - Austrian Journal of Cardiology 2025; 32 (9-10): 213-214 Volltext (PDF) Abbildungen
|
||||||||||
