Krause und Pachernegg
Verlag für Medizin und Wirtschaft
Artikel   Bilder   Volltext

Mobile Version
A-  |   A  |   A+
Werbung
 
Abbildungen und Graphiken
Resemann L et al.  
Heart Team – Case Report: Zweifache traumatische Aortenruptur nach Polytrauma – ein Fallbericht

Journal für Kardiologie - Austrian Journal of Cardiology 2025; 32 (11-12): 272-275

Volltext (PDF)    Abbildungen   


Abbildung
 
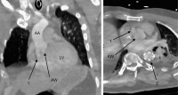
Trauma-CT
Abbildung 1: 1a: Trauma-CT: AA – Aorta ascendens; 1 – Pseudoaneurysma in loco typico; 2 – beginnendes mediastinales Hämatom, 1b: TEE während TEVAR: LA – linker Vorhof; LV – linker Ventrikel; AA – Aorta ascendens; 3 – hochgradige Aortenklappeninsuffizienz


Keywords: ComputertomographieCTTrauma
 
 
Angiegraphie
Abbildung 2: 2a: Subtraktionsangiographie vor Absetzen des Stentgrafts: AA – Aorta ascendens; TB – Tr. brachiocephalicus; LCCA – A. carotis communis sinistra; LSA – A. subclavia sinistra; 1 – Pseudoaneurysma; 2 – Spitze des Stentgraftapplikators; 3 – noch nicht expandierter Stent; 2b: Subtraktionsangiographie nach abgesetztem Stentgraft: 4 – freigesetzter Stent, das Pseudoaneurysma ist von der Perfusion exkludiert; 5 – zurückgezogene Spitze des Stentgraftapplikators; 6 – proximales Stentende unmittelbar nach Abgang der LCCA


Keywords: AngiographieStent
 
 
Aorten-CT
Abbildung 3: Postinterventionelles Kontroll-CTA nach TEVAR: AA – Aorta ascendens; LV – linker Ventrikel; AW – Aortenwurzel; 1 – Pseudoaneurysma im Bereich des nonkoronaren bzw. rechtskoronaren Sinus; 2 – expandierter Stentgraft in der proximalen Aorta descendens


Keywords: CTPseudoaneurysmas
 
 
 
copyright © 2000–2026 Krause & Pachernegg GmbH | Sitemap | Datenschutz | Impressum
 
Werbung