Verlag für Medizin und Wirtschaft
Artikel
Bilder
Volltext
Mobile Version
A-
|
A
|
A+
Werbung
Abo
Bestellung Jahresabonnement (Print/elektronisch)
Bestellung kostenloses e-Journal-Abo
Mediadaten
Journale
News
Datenbanken
Suche Medizinische Publikationen
Suche Abbildungen und Grafiken
Medizinprodukte - Labortechnik
Antidotarium (Stand 2012)
Phytokodex (Stand 2012)
Fortbildung
Bücher
Fachbücher
Patientenliteratur
Impressum
Offenlegung
Kontakt
Disclaimers & Copyright
Allgemeine Geschäftsbedingungen
Datenschutzerklärung
Sitemap
Abbildungen und Graphiken
Moayedifar R et al.
Aktuelles: Fortgeschrittene Herzinsuffizienz: LVAD als Langzeittherapie – ein Nettolebenszeitgewinn?
Journal für Kardiologie - Austrian Journal of Cardiology 2025; 32 (11-12)
: 280-282
Volltext (PDF)
Abbildungen
Abbildung
Vollbildansicht
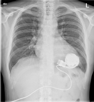
Thoraxröntgen
Abbildung 1: Postoperatives Thoraxröntgen des Patienten
Keywords:
LVAD
,
Thoraxröntgen
Vollbildansicht
LVAD-Patient
Abbildung 2: LVAD-Patient beim Golf spielen
copyright © 2000–2026
Krause & Pachernegg GmbH
|
Sitemap
|
Datenschutz
|
Impressum
Werbung