Verlag für Medizin und Wirtschaft
Artikel
Bilder
Volltext
Mobile Version
A-
|
A
|
A+
Werbung
Abo
Bestellung Jahresabonnement (Print/elektronisch)
Bestellung kostenloses e-Journal-Abo
Mediadaten
Journale
News
Datenbanken
Suche Medizinische Publikationen
Suche Abbildungen und Grafiken
Medizinprodukte - Labortechnik
Antidotarium (Stand 2012)
Phytokodex (Stand 2012)
Fortbildung
Bücher
Fachbücher
Patientenliteratur
Impressum
Offenlegung
Kontakt
Disclaimers & Copyright
Allgemeine Geschäftsbedingungen
Datenschutzerklärung
Sitemap
Abbildungen und Graphiken
Mihale M
Aktuelles: Fallbericht: Kesimpta
®
als Erstlinientherapie bei einer jungen Patientin
Journal für Neurologie, Neurochirurgie und Psychiatrie 2026; 27 (1)
: 22-23
Volltext (PDF)
Abbildungen
Abbildung
Vollbildansicht
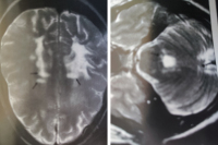
MRT
Abbildung 1: MRT: T2-gewichtete Läsionen supratentoriell, infratentoriell und im zervikalen Rückenmark
Keywords:
MRT
,
T2-gewichtete Läsion
Vollbildansicht
EDSS-Wert
Abbildung 2: Veränderung des EDSS-Werts nach Beginn der Kesimpta®-Therapie
Keywords:
Diagramm
,
EDSS-Wert
,
Kesimpta
copyright © 2000–2026
Krause & Pachernegg GmbH
|
Sitemap
|
Datenschutz
|
Impressum
Werbung