Krause und Pachernegg
Verlag für Medizin und Wirtschaft
Artikel   Bilder   Volltext

Mobile Version
A-  |   A  |   A+
Werbung
 
Abbildungen und Graphiken
Spary A et al.  
Therapeutisches Potential der biventrikulären Stimulation - ein Fallbericht

Journal für Kardiologie - Austrian Journal of Cardiology 2003; 10 (Supplementum F - Forum Rhythmologie): 6-8

Volltext (PDF)    Abbildungen   


Abbildung
 
Biventrikulärer Herzschrittmacher - LV-Durchmesser - LV-EF
Abbildung 2: Zeitlicher Verlauf der Entwicklung des LV-Durchmessers unserer Patientin (oben) wie auch der LV-EF (unten); es findet sich eine progrediente Zunahme des Durchmessers im Einklang mit einer Abnahme der EF. Der Pfeil markiert die Implantation des biventrikulären Schrittmachersystems, in dessen Folge es zu einer Verkleinerung des Ventrikels und zu einer Zunahme der LV-EF kommt.


Keywords: biventrikuläre StimulationDiagrammKardiologielinksventrikuläre Auswurffraktionlinksventrikulärer Durchmesser
 
 
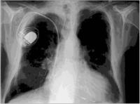
Biventrikulärer Herzschrittmacher
Abbildung 2: Biventrikulärer Schrittmacher im Thorax-Röntgen; auffällig ist, daß neben einer normalen Stimulationselektrode im rechten Vorhof und im rechten Ventrikel eine dritte Sonde über den Sinus coronarius an den linken Ventrikel herangeführt wird.


Keywords: biventrikuläre StimulationKardiologieRöntgenbildThoraxröntgen
 
 
Biventrikulärer Herzschrittmacher - EKG
Abbildung 3: 12-Kanal-EKG vor (links) und nach SM-Implantation (rechts); im Unterschied zu einem konventionellen Zweikammer-Schrittmacher erkennt man die Verschmälerung des QRS-Komplexes unter Stimulation.


Keywords: biventrikuläre StimulationEKGElektrokardiographieKardiologieZweikammerherzschrittmacher
 
 
 
copyright © 2000–2026 Krause & Pachernegg GmbH | Sitemap | Datenschutz | Impressum
 
Werbung