| Flütsch B et al. | ||||||||||||||||||||||||||||||||||||||||||||||
|---|---|---|---|---|---|---|---|---|---|---|---|---|---|---|---|---|---|---|---|---|---|---|---|---|---|---|---|---|---|---|---|---|---|---|---|---|---|---|---|---|---|---|---|---|---|---|
|
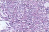
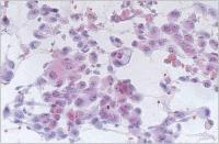
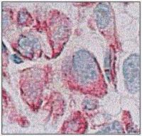
Fallbericht: Ein ungewöhnlicher Fall eines solitären Knotens in der Brust als Erstmanifestation eines anaplastischen Schilddrüsenkarzinoms
Journal für Menopause 2004; 11 (3) (Ausgabe für Österreich): 30-32 Journal für Menopause 2004; 11 (3) (Ausgabe für Schweiz): 26-28 Journal für Menopause 2004; 11 (3) (Ausgabe für Deutschland): 14-15 Volltext (PDF) Summary Abbildungen
|
||||||||||||||||||||||||||||||||||||||||||||||
