Flütsch B, Berclaz G, Dreher E, Dörnhöfer T, Gugger M, Lüdi M Fallbericht: Ein ungewöhnlicher Fall eines solitären Knotens in der Brust als Erstmanifestation eines anaplastischen Schilddrüsenkarzinoms Journal für Menopause 2004; 11 (3) (Ausgabe für Österreich): 30-32 Journal für Menopause 2004; 11 (3) (Ausgabe für Schweiz): 26-28 Journal für Menopause 2004; 11 (3) (Ausgabe für Deutschland): 14-15 Volltext (PDF) Summary Übersicht | ||||||||||||||||
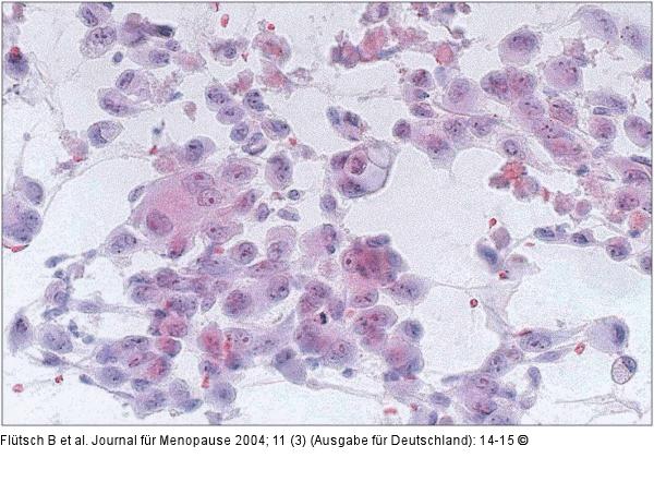
Abbildung 3: Feinnadelpunktion - Schilddrüsenkarzinom Feinnadelaspirat des Knotens in der Schilddrüse |
Abbildung 3: Feinnadelpunktion - Schilddrüsenkarzinom
Feinnadelaspirat des Knotens in der Schilddrüse |
