Krause und Pachernegg
Verlag für Medizin und Wirtschaft
Artikel   Bilder   Volltext

Mobile Version
A-  |   A  |   A+
Werbung
 
Abbildungen und Graphiken
Feuchtner G, Friedrich G  
Applikationen und Limitationen der Mehrschicht-Computertomographie in der kardialen Bildgebung: Erfahrungen aus der Praxis

Journal für Kardiologie - Austrian Journal of Cardiology 2005; 12 (1-2): 1-3

Volltext (PDF)    Summary    Abbildungen   


Abbildung
 
Koronare CTA
Abbildung 1: Koronare CTA. Darstellung der A. coronaria dextra (RCA) mit hochgradiger (> 90 %) Stenosierung – curved multiplanar reformation, MPR: proximal wenige cm nach Abgang aus der Aorta (Segment 1) demarkiert sich schwarz eine lipidhaltige Plaque (schwarzer Pfeil) mit deutlich niedrigeren CT-Dichtewerten (51 Hounsfield Units, HU) im Vergleich zum intraluminalen Kontrastmittel (288 HU). Im transversalen Schnitt durch die RCA (schwarzer Pfeil) erkennt man deutlich eine Dreischichtung: das mittlere Level (schwarz) entspricht dem lipidhaltigen Plaqueanteil, darüber (hell) das hochgradig (> 90 %) stenosierte Gefäßlumen und darunter der kalzifizierte Plaqueanteil (455 HU).


Keywords: Kardiologiekoronare CTA
 
 
Bypässe - Volume Rendering Technique (VRT)
Abbildung 2a: Bypässe. Volume Rendering Technique (VRT): zum einen Darstellung eines an die LAD anastomosierten LIMA-Bypasses. Weiters zeigt sich in der distalen A. coronaria dextra (RCA) ein Stent. Die VRT eignet sich vor allem zur Visualisierung der Oberfläche und bietet einen Überblick über die kardiale Anatomie.


Keywords: BypassKardiologieStentVolume Rendering TechniqueVRT
 
 
Bypässe - MPR - MIP
Abbildung 2b: Zur Beurteilung der Durchgängigkeit von Bypässen eignen sich vor allem MPR- (Multiplanare Reformation) und MIP-(Maximum Intensity Projection) Rekonstruktionen. Hier ebenso Darstellung eines an die LAD anastomosierten LIMA-Bypasses.


Keywords: BypassKardiologieMIPMPR
 
 
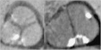
Aortenklappe
Abbildung 3: Aortenklappe. Linksseitig trikuspide Aortenklappe (Mercedes-Stern), rechts bikuspide Aortenklappe. Beide Klappen weisen geringe Kalzifikationen auf (helle Spots).


Keywords: AortenklappeKardiologie
 
 
Koronarer Stent
Abbildung 4a: Koronarer Stent. Recht deutlicher Artefakt mit Überstrahlung des Stentlumens. Links ist das Stentlumen abgrenzbar.


Keywords: KardiologieLumenStent
 
 
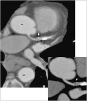
Rezidivstenose
Abbildung 4b: Rezidivstenose bei Zustand nach Stentimplantation in der proximalen LAD: unmittelbar vor dem Stent zeigt sich eine lipidhaltige Plaque (weißer Pfeil). AA = Aorta ascendens; AD = Aorta descendens


Keywords: KardiologieRezidivstenoseStent
 
 
 
copyright © 2000–2026 Krause & Pachernegg GmbH | Sitemap | Datenschutz | Impressum
 
Werbung