Verlag für Medizin und Wirtschaft
Artikel
Bilder
Volltext
Mobile Version
A-
|
A
|
A+
Werbung
Abo
Bestellung Jahresabonnement (Print/elektronisch)
Bestellung kostenloses e-Journal-Abo
Mediadaten
Journale
News
Datenbanken
Suche Medizinische Publikationen
Suche Abbildungen und Grafiken
Medizinprodukte - Labortechnik
Antidotarium (Stand 2012)
Phytokodex (Stand 2012)
Fortbildung
Bücher
Fachbücher
Patientenliteratur
Impressum
Offenlegung
Kontakt
Disclaimers & Copyright
Allgemeine Geschäftsbedingungen
Datenschutzerklärung
Sitemap
Abbildungen und Graphiken
Kranz A et al.
Pathologien des rechten Atriums und der großen zuführenden Gefäße
Journal für Kardiologie - Austrian Journal of Cardiology 2005; 12 (3-4)
: 33-36
Volltext (PDF)
Summary
Abbildungen
Abbildung
Vollbildansicht
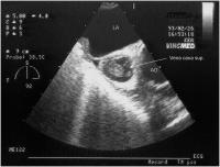
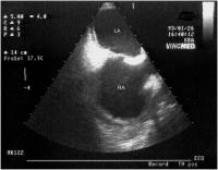
Valvula eustachii
Abbildung 1: Valvula eustachii an der Mündung der V. cava inf. (TTE, subkostaler Längsschnitt)
Keywords:
Echokardiogramm
,
Echokardiographie
,
Kardiologie
,
Valvula eustachii
Vollbildansicht
Rete chiari
Abbildung 2: Rete chiari (TEE, Längsschnitt)
Keywords:
Echokardiogramm
,
Echokardiographie
,
Kardiologie
,
Rete chiari
Vollbildansicht
Vena cava sup. - Subtotale Thrombose
Abbildung 3a-b
Keywords:
Echokardiogramm
,
Echokardiographie
,
Kardiologie
,
Thrombose
,
Vena cava superior
Vollbildansicht
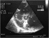
Flottierender Thrombus
Abbildung 4: Flottierender Thrombus rechtes Atrium (subkostaler Querschnitt)
Keywords:
Echokardiogramm
,
Echokardiographie
,
Kardiologie
,
rechtes Atrium
,
Thrombus
Vollbildansicht
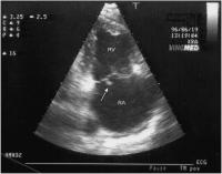
Kugelthrombus
Abbildung 5: Kugelthrombus im Ostium des Sinus coronarius (Längsschnitt)
Keywords:
Echokardiogramm
,
Echokardiographie
,
Kardiologie
,
Sinus coronarius
Vollbildansicht
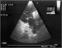
Flottierender Thrombus
Abbildung 6a-b
Keywords:
Echokardiogramm
,
Echokardiographie
,
flottierender Thrombus
,
Kardiologie
Vollbildansicht
Katheterassoziierte Thrombose
Abbildung 7: Katheterassoziierte Thrombose der V. jugularis int.
Keywords:
Echokardiogramm
,
Echokardiographie
,
Kardiologie
,
Thrombose
Vollbildansicht
Angiosarkom - Rechtes Atrium
Abbildung 8: Angiosarkom (histolog. verifiziert) d. rechten Atrium (TEE Querschnitt)
Keywords:
Angiosarkom
,
Echokardiogramm
,
Echokardiographie
,
Kardiologie
,
rechtes Atrium
Vollbildansicht
Endokarditis - Valv. tricuspidalis
Abbildung 9: Endokarditis d. Valv. tricuspidalis (TTE)
Keywords:
Echokardiogramm
,
Echokardiographie
,
Endokarditis
,
Kardiologie
Vollbildansicht
Postoperative Veränderungen
Abbildung 10a-b
Keywords:
Echokardiogramm
,
Echokardiographie
,
Kardiologie
,
Medistinalhämatom
,
rechtes Atrium
copyright © 2000–2026
Krause & Pachernegg GmbH
|
Sitemap
|
Datenschutz
|
Impressum
Werbung