Verlag für Medizin und Wirtschaft
Artikel
Bilder
Volltext
Mobile Version
A-
|
A
|
A+
Werbung
Abo
Bestellung Jahresabonnement (Print/elektronisch)
Bestellung kostenloses e-Journal-Abo
Mediadaten
Journale
News
Datenbanken
Suche Medizinische Publikationen
Suche Abbildungen und Grafiken
Medizinprodukte - Labortechnik
Antidotarium (Stand 2012)
Phytokodex (Stand 2012)
Fortbildung
Bücher
Fachbücher
Patientenliteratur
Impressum
Offenlegung
Kontakt
Disclaimers & Copyright
Allgemeine Geschäftsbedingungen
Datenschutzerklärung
Sitemap
Abbildungen und Graphiken
Rössler K
State of the Art - Hirnbiopsie
Journal für Neurologie, Neurochirurgie und Psychiatrie 2005; 6 (3)
: 11-15
Volltext (PDF)
Summary
Abbildungen
Abbildung
Vollbildansicht
Stereotaktischer Apparat
Abbildung 1: Stereotaktischer Apparat, Horsley und Clarke 1908 [1].
Keywords:
Foto
,
Neurochirurgie
,
stereotaktischer Apparat
Vollbildansicht
CRW-Rahmen
Abbildung 2: CRW-Rahmen am Phantom - Zielpunktüberprüfung
Keywords:
CRW
,
Foto
,
Neurochirurgie
Vollbildansicht
CRW
Abbildung 3: CRW - stereotaktische Biopsie
Keywords:
CRW
,
Foto
,
Neurochirurgie
Vollbildansicht
Biopsie
Abbildung 4: Rahmenlos stereotaktische Biopsie.
Keywords:
Biopsie
,
Foto
,
Neurochirurgie
Vollbildansicht
Bildfusion
Abbildung 5: Multimodale Bildfusion
Keywords:
Bildfusion
,
CT
,
MRT
,
Neurochirurgie
,
PET
Vollbildansicht
Biopsat
Abbildung 6: Serienbiopsate
Keywords:
Biopsat
,
Foto
,
Neurochirurgie
Vollbildansicht
Biopsie
Abbildung 7: Biopsiezylinder
Keywords:
Biopsie
,
Foto
,
Neurochirurgie
,
Zylinder
Vollbildansicht
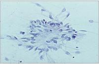
Smear
Abbildung 8: Intraoperative Smearuntersuchung Ependymom Pseudorosette.
Keywords:
Neurochirurgie
,
Smear
copyright © 2000–2026
Krause & Pachernegg GmbH
|
Sitemap
|
Datenschutz
|
Impressum
Werbung