Verlag für Medizin und Wirtschaft
Artikel
Bilder
Volltext
Mobile Version
A-
|
A
|
A+
Werbung
Abo
Bestellung Jahresabonnement (Print/elektronisch)
Bestellung kostenloses e-Journal-Abo
Mediadaten
Journale
News
Datenbanken
Suche Medizinische Publikationen
Suche Abbildungen und Grafiken
Medizinprodukte - Labortechnik
Antidotarium (Stand 2012)
Phytokodex (Stand 2012)
Fortbildung
Bücher
Fachbücher
Patientenliteratur
Impressum
Offenlegung
Kontakt
Disclaimers & Copyright
Allgemeine Geschäftsbedingungen
Datenschutzerklärung
Sitemap
Abbildungen mit Filmsequenzen
Schima W et al.
Aktuelle Bilder: Perforation durch Magenulkus
Journal für Gastroenterologische und Hepatologische Erkrankungen 2007; 5 (1)
: 27
Volltext (PDF)
Abbildungen mit Filmsequenzen
Abbildung
Vollbildansicht
Perforierter Ulkus
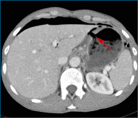
Abbildung 1: Das axiale CT-Bild zeigt ein perforiertes Ulkus des Magens (Pfeil).
Keywords:
CT
,
Gastroenterologie
,
Ulkus
Vollbildansicht
Ulkus
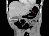
Abbildung 2: Die 3D-Rekonstruktion des CT in parakoronaler Schnittführung zeigt die Lokalisation des Ulkus noch anschaulicher.
Keywords:
CT
,
Gastroenterologie
,
Ulkus
Film starten
Vollbildansicht
Lungenfenster
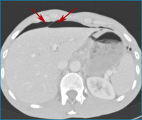
Abbildung 3: Die Rekonstruktion der CT-Bilder im sogenannten "Lungenfenster" zeigt anschaulich die Luftansammlungen in der Peritonealhöhle. Das Ligamentum falciforme der Leber ist von Luft umgeben (Pfeile).
Keywords:
CT
,
Gastroenterologie
,
Lungenfenster
copyright © 2000–2026
Krause & Pachernegg GmbH
|
Sitemap
|
Datenschutz
|
Impressum
Werbung