Schima W, Plank C, Memarsadeghi M, Breininger N Aktuelle Bilder: Perforation durch Magenulkus Journal für Gastroenterologische und Hepatologische Erkrankungen 2007; 5 (1): 27 Volltext (PDF) Übersicht
| ||||||
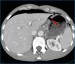
Abbildung 3: Lungenfenster Die Rekonstruktion der CT-Bilder im sogenannten "Lungenfenster" zeigt anschaulich die Luftansammlungen in der Peritonealhöhle. Das Ligamentum falciforme der Leber ist von Luft umgeben (Pfeile). |
Abbildung 3: Lungenfenster
Die Rekonstruktion der CT-Bilder im sogenannten "Lungenfenster" zeigt anschaulich die Luftansammlungen in der Peritonealhöhle. Das Ligamentum falciforme der Leber ist von Luft umgeben (Pfeile). |
