Krause und Pachernegg
Verlag für Medizin und Wirtschaft
Artikel   Bilder   Volltext

Mobile Version
A-  |   A  |   A+
Werbung
 
Abbildungen und Graphiken
Teich N et al.  
Fallbericht: Akut-stenosierender Morbus Crohn - Operation oder Immunsuppression?

Journal für Gastroenterologische und Hepatologische Erkrankungen 2007; 5 (3): 16-19

Volltext (PDF)    Abbildungen   


Abbildung
 
C-reaktives Protein
Abbildung 1: Verlauf der Konzentration des C-reaktiven Proteins während des Rezidivs mit akuter Ileozökalstenose. Beachtung sollte das kaum erhöhte CRP bei Eintreffen in der Notaufnahme finden, das zunächst zu einer differentialdiagnostischen Unsicherheit führte.


Keywords: C-reaktives ProteinCRPDiagrammIleozökalstenose
 
 
Dünndarmspiegel
Abbildung 2: Dünndarmspiegel (Sterne) als Zeichen des mechanischen Ileus. Nebenbefundlich Spondylitis ankylosans (Pfeil).


Keywords: IleusRöntgenbildSpondylitis
 
 
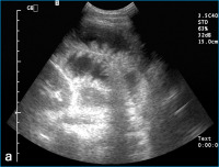
Dünndarmschlingen
Abbildung 3a: Sonographische Darstellung massiv flüssigkeitsgefüllter Dünndarmschlingen mit starrer Darstellung der Kerckringschen Falten, dem sogenannten "Klaviertastenphänomen".


Keywords: DünndarmschlingenKerckringschen FaltenSonographie
 
 
Aszites
Abbildung 3b: Aszites im Spatium hepatorenale (Pfeil).


Keywords: AszitesSonographieSpatium hepatorenale
 
 
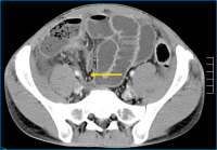
Ileum
Abbildung 4: Computertomographische Darstellung eines längerstreckigen entzündlichen Verschlusses des terminalen Ileums (Pfeil) mit prästenotisch dilatiertem Dünndarm und einer geringgradigen Koprostase im Zökum. Nebenbefundlich finden sich erneut Residuen des klinisch remittierenden Mb. Bechterew.


Keywords: ComputertomographieCTIleumMorbus BechterewZökum
 
 
Morbus Crohn
Abbildung 5: Gewichtsverlauf des Patienten seit Beginn des Mb. Crohn. Bemerkenswert ist die heftige Schwankung des Körpergewichts um bis zu 25 % zwischen den akuten Krankheitsphasen (Pfeile) und der jeweils kortikoidinduzierten Remission.


Keywords: DiagrammKörpergewichtMorbus Crohn
 
 
 
copyright © 2000–2026 Krause & Pachernegg GmbH | Sitemap | Datenschutz | Impressum
 
Werbung