Teich N, Ott R, Kahn T, Mössner J Fallbericht: Akut-stenosierender Morbus Crohn - Operation oder Immunsuppression? Journal für Gastroenterologische und Hepatologische Erkrankungen 2007; 5 (3): 16-19 Volltext (PDF) Übersicht | ||||||||||||
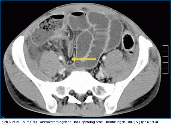
Abbildung 4: Ileum Computertomographische Darstellung eines längerstreckigen entzündlichen Verschlusses des terminalen Ileums (Pfeil) mit prästenotisch dilatiertem Dünndarm und einer geringgradigen Koprostase im Zökum. Nebenbefundlich finden sich erneut Residuen des klinisch remittierenden Mb. Bechterew. |
Abbildung 4: Ileum
Computertomographische Darstellung eines längerstreckigen entzündlichen Verschlusses des terminalen Ileums (Pfeil) mit prästenotisch dilatiertem Dünndarm und einer geringgradigen Koprostase im Zökum. Nebenbefundlich finden sich erneut Residuen des klinisch remittierenden Mb. Bechterew. |
