Krause und Pachernegg
Verlag für Medizin und Wirtschaft
Artikel   Bilder   Volltext

Mobile Version
A-  |   A  |   A+
Werbung
 
Abbildungen und Graphiken
Mori M  
Update: Kardiovaskuläre Bildgebung

Journal für Kardiologie - Austrian Journal of Cardiology 2008; 15 (9-10): 310-312

Volltext (PDF)    Abbildungen   


Abbildung
 
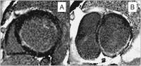
Kardiale Magnetresonanztomographie
Abbildung 1: Kardiale Magnetresonanztomographie: „Late enhancement"-Technik: Vitales Myokard erscheint schwarz (Signalintensität 0), Gadolinium erhöht SI in avitalem Gewebe. Midventrikuläre Kurzachsenschnitte: A: subendokardiale Narbe (< 50 %, normale Wanddicke) – erhaltene Vitalität, B: transmurale Narbe – avital


Keywords: KardiologieLate enhancement-TechnikMRT
 
 
Kardiale Computertomographie
Abbildung 2: Kardiale Computertomographie: dreidimensionale Rekonstruktion, Stufenartefakte erschweren Beurteilung, lassen signifikante koronare Herzkrankheit dennoch ausschließen.


Keywords: CTKardiologieKHK-Risiko
 
 
 
copyright © 2000–2026 Krause & Pachernegg GmbH | Sitemap | Datenschutz | Impressum
 
Werbung